-
Homem executado a tiros em Crato, e morre adolescente lesionado a bala
Homem morto a tiros não percebeu que estava sendo seguido
-
Idosa atacada por cobra em Assaré morre no Hospital em Juazeiro do Norte
Idosa foi atacada pela cobra quando tinha ido colocar alimentos para seus cães
-
Ciclista fica ferido ao ser colhido pelo Metrô do Cariri em Juazeiro do Norte
Ciclista conseguiu evitar uma situação pior, mas acabou ficando ferido
-
Barbalhenses lotam Igreja no último adeus ao mecânico “Pedrinho”
"Pedrinho" estava hospitalizado e não resistiu a uma parada cardíaca.
-
Campeonatos Cearense, Carioca, Copa do Brasil e Sul-Americana, jogos de hoje (12)
Quatro competições movimentam suas tabelas nesta quarta-feira com jogos no Brasil e em cam...
-
Galaxy Z Flip: dobrável flip da Samsung rivaliza com Motorola Razr
Formato permite que telefone fique em cima da mesa enquanto usuário grava vídeos.
-
Homenagem a Barbalha no Carnaval do Rio de Janeiro deste ano expande riqueza cultural da região
Carnavalesco da Acadêmicos de Santa Cruz e participantes locais dimensionam alcance e rele...
-
Ações de combate a leishmaniose acontecem em Crato
A comunidade precisa estar informada sobre os perigos da leishmaniose e, também, como se p...
-
Educação reúne cerca de 700 Professores e coordenadores pedagógicos para avaliação e debates
A pauta atendeu aos estudos sobre transição de conhecimentos e avaliação.
-
Frente parlamentar quer promover educação no trânsito para reduzir mortes
Para coordenador da frente, autoescolas são essenciais nesse processo
-
Autonomia do Banco Central poderá ser votada após o Carnaval
O projeto cria mandatos para o presidente e para os diretores do Banco Central
-
Ceará registra quase 1.500 mortes de crianças de até 1 ano de idade em 2019
A Taxa de Mortalidade Infantil (TMF) do Estado voltou a crescer em 2019. O índice passou d...
-
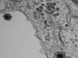
Novo vírus descoberto na Lagoa da Pampulha não se parece com nada visto antes
Yaravirus, como foi batizado, é considerado raríssimo pelos pesquisadores que o encontrara...
-
Mãe flagra missionário peruano estuprando a filha em igreja de SP
Mãe da criança flagrou o abuso dentro de uma unidade da igreja em Itanhaém e, após confirm...
-
Enderson Moreira comanda treino do Ceará nesta segunda-feira em Belém
O Ceará enfrenta o Bragantino-PA pela primeira fase da Copa do Brasil. O duelo está previs...